Back

The TIAra/PGTI project


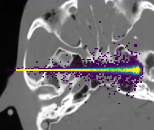
Time-of-flight Imaging Array for range monitoring in hadrontherapy

Description

This project is a collaborative study between LPSC in Grenoble, the Centre Antoine Lacassagne in Nice and the research team imXgam at CPPM to develop Prompt Gamma Time Imaging (PGTI) for range monitoring in hadrontherapy. This work is supported by the ERC starting grant PGTI of Sara Marcatili (LPSC).

Master Thesis

Tristan Renaud, Méthodes d'apprentissage pour la reconstruction du dépôt d'énergie en hadronthérapie avec le détecteur TIARA, Université Clermont Auvergne, septembre 2024

PhD Thesis

Alicia Garnier, Monte Carlo modeling of a RANDO phantom head irradiated with 100 MeV protons for Prompt Gamma Time Imaging with the TIARA detector, Aix-Marseille Université, Feb 2026

Publications

M. Jacquet et al., A time-of-flight-based reconstruction for real-time prompt-gamma imaging in protontherapy, Phys. Med. Biol. 66 (2021) 135003

M. Jacquet et al., A high sensitivity Cherenkov detector for prompt gamma timing and time imaging, Sci. Rep. 13 (2023) 3609

A. André et al. A fast plastic scintillator for low intensity proton beam monitoring, IEEE Trans. Radiat. Plasma Med. Sci. 9 (2025) 382-387



Legal mentions